Syn.: Fomitopsis betulina
Velmi hojný jednoletý choroš striktně vázaný na břízu. Roste na živých i odumřelých stromech. Způsobuje hnědou kostkovitou hnilobu. Nezaměnitelný druh, přítomný v téměř každém březovém porostu. Podobný a vzácný pstřeňovec dubový (Buglossoporus quercinus) roste na mrtvém dřevě dubu.

Piptoporus betulinus Kyšperk, acidofilní bučina, stojící kmen Betula, 21.10.2022, (c) Lucie Zíbarová

Piptoporus betulinus Sokolov, předpolí lomu Jiří, kmínek břízy, 2.10.2008, (c) Lucie Zíbarová

Piptoporus betulinus NPR Karlštejn, dubohabřina, pahýl Betula, 27.9.2021, (c) Lucie Zíbarová

Piptoporus betulinus NPP Jestřebské slatiny, vlhká březina, živý kmen Betula, 26.10.2018, (c) Lucie Zíbarová

Piptoporus betulinus České Budějovice - cvičák, porost náletových dřevin, padlý kmínek Betula, 7.1.2007, (c) Lucie Zíbarová


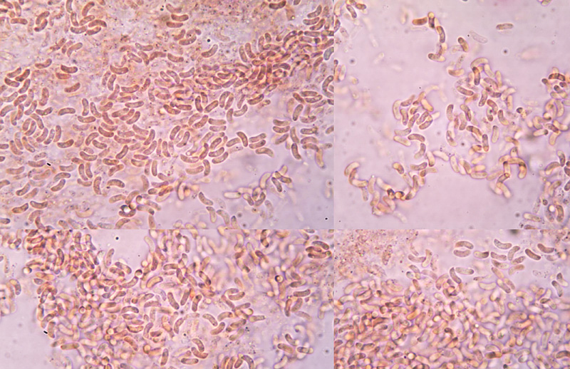
Piptoporus betulinus PP Pustý zámek, (spory, Congo Red, 1000x) 6.3.2025, (c) Lucie Zíbarová